
订单提交后,10分钟内,我们将安排工作人员和您联系!
合肥科俭网络科技有限公司
电话:19055147252
邮箱:
地址:合肥科俭网络科技有限公司
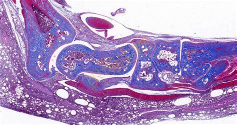
HE染色(苏木精 - 伊红染色)是组织学和病理学中最常用的染色方法,用于观察细胞和组织的形态结构。以下是关于HE染色的详细介绍:**一、染色原理**1. 苏木精染色原理 - 苏木精是一种碱性染料,它可以与细胞核中的酸性物质(如DNA和RNA)结合。苏木精本身没有颜色,在经过氧化后变成苏木精氧化产物,带有正
19055147252 立即咨询HE染色(苏木精 - 伊红染色)是组织学和病理学中最常用的染色方法,用于观察细胞和组织的形态结构。以下是关于HE染色的详细介绍:
**一、染色原理**
1. 苏木精染色原理
- 苏木精是一种碱性染料,它可以与细胞核中的酸性物质(如DNA和RNA)结合。苏木精本身没有颜色,在经过氧化后变成苏木精氧化产物,带有正电荷。细胞核中的核酸带有负电荷,根据异性电荷相吸的原理,苏木精氧化产物与细胞核中的核酸结合,使细胞核染成蓝紫色。
2. 伊红染色原理
- 伊红是一种酸性染料,它主要与细胞质中的碱性物质(如蛋白质)结合。伊红带有负电荷,而细胞质中的蛋白质等成分带有正电荷,两者结合后使细胞质、细胞外基质等染成粉红色。
**二、实验材料和设备**
1. 材料
- 组织样本:可以是石蜡切片、冰冻切片或细胞涂片。石蜡切片是将组织经过固定、脱水、透明、浸蜡等一系列处理后制成的切片,是最常见的组织学观察材料;冰冻切片是在低温下将组织快速冷冻后切片,主要用于一些需要快速诊断的情况;细胞涂片则是将细胞均匀地涂抹在玻片上,用于观察细胞形态。
- 染色试剂:包括苏木精染液、伊红染液、分化液(如1%盐酸酒精,用于去除细胞核染色过程中的多余苏木精)、返蓝液(如饱和碳酸锂溶液,用于使细胞核颜色更鲜明)、封片剂(如中性树胶)。
- 其他试剂:如乙醇(用于脱水)、二甲苯(用于透明)。
2. 设备
- 切片机:用于制作石蜡切片或冰冻切片。
- 染色缸:用于盛放各种染色试剂,方便组织切片在不同试剂中浸泡染色。
- 显微镜:用于观察染色后的组织切片,评估染色效果和组织结构。
- 载玻片和盖玻片:用于承载组织切片和封片。
**三、实验步骤**
1. 石蜡切片染色步骤
- 脱蜡至水:
- 将石蜡切片放入二甲苯Ⅰ中浸泡10 - 15分钟,使石蜡溶解,更换二甲苯Ⅱ,再浸泡10 - 15分钟。
- 然后依次放入100%乙醇Ⅰ、100%乙醇Ⅱ、95%乙醇、80%乙醇、70%乙醇各浸泡5分钟左右,最后用蒸馏水冲洗切片,使切片从有机相过渡到水相。
- 苏木精染色:
- 将切片放入苏木精染液中染色5 - 15分钟,具体染色时间根据组织类型和切片厚度等因素调整。染色时间过长,细胞核颜色过深;染色时间过短,细胞核染色不充分。
- 分化:
- 染色后,将切片放入1%盐酸酒精分化液中浸泡数秒至数十秒,轻轻晃动切片,使细胞核颜色适度变浅,去除多余的苏木精,直到在显微镜下观察细胞核呈现清晰的蓝紫色且背景干净。
- 返蓝:
- 将切片放入饱和碳酸锂溶液或自来水(流水)中浸泡5 - 10分钟,使细胞核颜色更加鲜明。
- 伊红染色:
- 将切片放入伊红染液中染色2 - 5分钟,使细胞质和细胞外基质染上粉红色。
- 脱水、透明和封片:
- 染色后,将切片依次放入70%乙醇、80%乙醇、95%乙醇、100%乙醇Ⅰ、100%乙醇Ⅱ各浸泡5分钟左右进行脱水。
- 然后放入二甲苯Ⅰ、二甲苯Ⅱ各浸泡5 - 10分钟进行透明。
- 最后在切片上滴加适量中性树胶,盖上盖玻片,用镊子轻轻按压,使盖玻片与切片贴合紧密,避免产生气泡。
2. 冰冻切片染色步骤
- 固定:
- 新鲜的冰冻切片从冰箱中取出后,立即放入固定液(如4%多聚甲醛)中固定10 - 15分钟,使组织细胞的形态和结构固定。
- 水洗:
- 用蒸馏水冲洗切片3 - 5次,每次3 - 5分钟,去除固定液。
- 苏木精染色、分化、返蓝和伊红染色:
- 步骤与石蜡切片基本相同,但由于冰冻切片没有经过石蜡包埋等处理,组织结构相对脆弱,在操作过程中要更加小心,避免切片损坏。
- 脱水、透明和封片:
- 因为冰冻切片较薄,脱水和透明时间可以适当缩短。通常在70%乙醇、80%乙醇、95%乙醇、100%乙醇各浸泡3 - 5分钟,二甲苯Ⅰ、二甲苯Ⅱ各浸泡3 - 5分钟,然后进行封片。
3. 细胞涂片染色步骤
- 固定:
- 将细胞涂片在空气中自然干燥后,放入甲醇或95%乙醇中固定10 - 15分钟。
- 染色:
- 按照苏木精染色、分化、返蓝和伊红染色的步骤进行操作,染色时间可根据细胞密度和涂片厚度适当调整。
- 水洗和封片:
- 染色后用蒸馏水冲洗涂片,去除多余的染液,然后自然干燥或用吹风机吹干涂片,滴加封片剂,盖上盖玻片。
**四、结果观察与分析**
1. 细胞核
- 正常情况下,细胞核被染成蓝紫色,颜色深浅均匀。可以观察细胞核的大小、形状、位置以及核内结构(如核仁)。例如,在肿瘤细胞中,细胞核通常比正常细胞的细胞核大,形状不规则,核仁明显增大。
2. 细胞质
- 细胞质呈粉红色。通过观察细胞质的染色情况,可以了解细胞的功能状态和分化程度。例如,在分泌细胞中,细胞质可能含有较多的分泌颗粒,染色后可以看到细胞质中有一些深色的小点。
3. 组织和细胞形态
- 可以观察组织的整体结构,如上皮组织的层次、结缔组织的纤维排列、肌肉组织的肌纤维走向等。同时,也可以观察细胞之间的连接方式(如紧密连接、桥粒等)和细胞在组织中的分布情况。例如,在正常的皮肤组织中,表皮的角质形成细胞从基底层到角质层呈现出有规律的分层排列。
**五、注意事项**
1. 试剂质量
- 染色试剂的质量对染色效果有很大影响。苏木精和伊红染液应选择质量好、稳定性高的产品,并且要按照说明书的要求进行配制和保存。例如,苏木精染液需要经过氧化成熟后才能使用,伊红染液的pH值会影响染色效果。
2. 染色时间和温度
- 染色时间和温度是影响染色效果的重要因素。不同的组织类型、切片厚度和染色试剂的批次等都会导致最佳染色时间的差异。一般来说,在常温下染色效果较好,但在温度较低时,染色时间可能需要适当延长。
3. 操作过程中的细节
- 在脱蜡、脱水、透明等过程中,要确保试剂的更换及时、彻底。如果脱蜡不彻底,会影响后续的染色效果;如果脱水不完全,在透明和封片过程中可能会出现云雾状的模糊区域。在封片时,要注意避免产生气泡,气泡会影响观察效果。

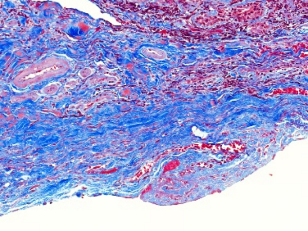
特殊染色是病理学和组织学中使用的一种染色方法,用于显示组织或细胞中的特定成分,这些成分在常规的苏木精 - 伊红(HE)染色中可能无法清晰地显示。以下是关于特殊染···...

免疫组化(Immunohistochemistry,IHC)是一种利用抗原 - 抗体特异性反应来定位和定性组织细胞中特定抗原的技术,在病理学、肿瘤学等众多领域发···...

